
You’ve got a lot on the line, clinically and economically. Accelerate clinical efficiency with innovative echocardiography offerings that work harder to help care teams work smarter, before, during and after procedures.
See how Philips intelligence is enabling care teams to work with enhanced efficiency throughout echocardiography from the time a physician orders the exam to study completion, billing and referral.
It sounds so simple, but we know what clinicians are dealing with every day – wanting quality time with their patients, yet burdened and burned out by inefficiencies and administrative tasks.
The need for change is great. The time for change is now.
We are here for you, to help get you the insights you need to see the full picture of your patient’s condition clearly and quickly to enable precise and personalized care decisions with our Echo Workflow offerings.

Assessment of benefits of Echo Workflow Solution: Findings from a two-step Delphi study.
This study assesses the clinical, operational, and economic benefits of Echo Workflow offering. Consensus was unanimous that the offering can enhance access to complete and longitudinal data needed for patient care decision-making; can lead to increased report consistency, measurement reproducibility and comparability; can help with better collaboration within the user's organization, can help with saving report turnaround time and with improving time-to-detection and/or diagnosis.
“The solution helps with workflow plasticity: being flexible & adaptable.“
Learn more about how our clinically smart diagnostic solutions help to streamline workflows and provide actionable insights that increase both clinical confidence and efficiency-without compromise.

Philips Compact Ultrasound System 5500CV brings full functionality and first-scan answers to you, wherever you are. Offering a feature-rich core, a range of diagnostic solutions, enhanced cleanability and
wireless connectivity and reporting, Philips Compact Ultrasound System 5500CV is one of the most reliable and robust compact systems on the market.

Streamline echocardiography workflow across your organization with Philips Ultrasound Workspace. Built on the legacy of the TOMTEC ARENA platform, it allows for greater efficiency in viewing, analysis and reporting by giving care teams the flexibility to adopt different workflows based on their current and future needs.
Cardiovascular Workspace is designed to help streamline workflow and improve operational performance throughout the cardiovascular care continuum.

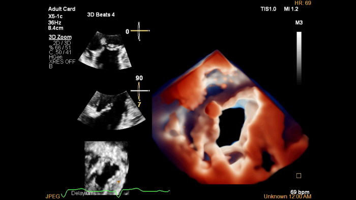
The EPIQ CVx is a dedicated cardiac ultrasound solution which brings significant advancements in functionality. This helps you deliver better care through higher processing power, exceptional imaging with more clarity & sharpness, improved exam efficiencies, complemented by the proven, robust quantification capabilities of Ultrasound Workspace.

The Philips Affiniti CVx ultrasound system is a dedicated cardiovascular solution designed to meet the everyday demands of cardiology – helping you deliver better care to more patients.
Watch how Dr. Saloux, cardiologist at the CHU de Caen in Normandy, France, uses Collaboration Live to enable access to care via tele-medicine with ultrasound, remotely consulting with colleagues in cardiology departments at satellite hospitals in Normandy, France, transforming the delivery of healthcare.
Cardiac imaging modalities support a more confident stratification of cardiovascular toxicity while serving as a powerful baseline reference for treatment and long-term follow-up.
To read the complete 2022 ESC guidelines for cardio-oncology visit our cardiotoxicity page.
Advance your echocardiography program to its fullest potential. Consult with a Philips Healthcare sales representative today.
Get to confident diagnoses more efficiently with integrated cardiac imaging products and services that are designed to help care teams work more effectively throughout the patient care path.

Explore Philips cardiology solutions designed to strengthen clinical confidence, build efficiency throughout the care pathway, and improve cardiac care experiences.
You are about to visit a Philips global content page
Continue