EN
AR
Magnetic Resonance
MR 5300 with the Torso cardiac breeze coil

Philips MR 5300

It’s not just helium-free MR operations
It's excellent quality images and patient-centric workflow

    Unleash the power of the MR 5300

    Ramp up MR productivity and meet the growing demand for exceptional quality diagnostic imaging – with MR 5300. This 1.5T MRI scanner is powered by  Philips exclusive BlueSeal magnet and incorporates AI1-driven technologies designed to automate the most complex clinical and operational tasks. So you can focus on what matters the most: your patients.

    Unleash the power

    Revolutionizing helium-free MR operations – again

    Patient centric workflow

    Automated

    patient-centric workflow

    Set-up patients in under a minute and start exams with a single click. Reduce change-over time between exams by up to 30%4.

    Fast exams

    Ultra-fast exams

    Speed MR scans by up to 50%2 with virtually equal image quality. Complete routine exams in just 5 minutes.

    High quality imaging

    High quality

    diagnostic imaging

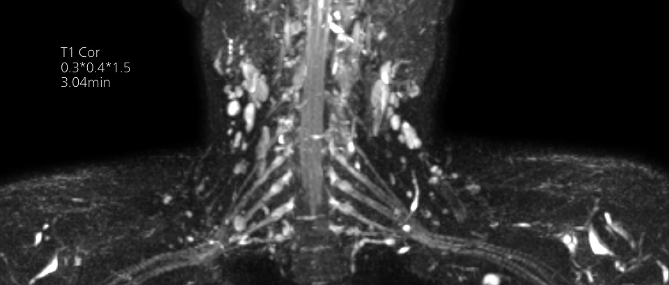
    Our lightest Breeze coils bring versatility and create consistent high quality images for any anatomy.

    Performance for life

    Protect and enhance your MR investment

    Helium-free MR operations, proactive remote monitoring and upgrade programs tailored to your needs.

    Turn images into answers – 50% faster

    Put time on your side with Compressed SENSE to reduce scan time up to 50%2 with virtually equal image quality. Create exceptional MR images with 60% higher resolution for confident diagnosis.

    16:30 minutes

    Sixteen min thumb

    Conventional

    8:00 minutes

    Eight min thumb

    Compressed SENSE

    Quality images for quality diagnoses

    Our lightest Breeze coils bring extraordinary versatility to imaging challenging anatomies and the smallest joints. A large 55cm field-of-view and premium SNR add to the exceptional image quality.

    MR product image

    Get the whole MR 5300 story

    Take a closer look at the Philips MR 5300. Learn more about diagnostic images and product details.

    Learn more about helium-free MR operations

    Blue seal magnet product

    BlueSeal magnet for helium-free MR operations

    Philips BlueSeal magnet safeguards the small amount of liquid helium needed for cooling inside the bore. There’s no helium loss, no refills, and no unexpected costs.

    Men talking while walking

    What’s up with helium?

    See Dr. Atun Gupta explaining how liquid helium, the coldest element on Earth, is crucial for MRI machines and how BlueSeal technology reduces its usage.

    We are always interested in engaging with you.

    Let us know how we can help.

    1
    Select your area of interest
    2
    Contact details

    References

    1 According to the definition of AI from the EU High-Level Expert Group
    2 Compared to Philips scans without Compressed SENSE
    3 10 years is the minimum life we offer on a system. Parts like consumables and coils are guaranteed in that lifetime and so are the services we are offering on the contract.
    4 Compared with CoT between routine Brain, Spine, Body, Cardiac, MSK exams in Ingenia 1.5T / Ingenia Ambition 1.5T with dS Anterior and dedicated MSK-coils

    You are about to visit a Philips global content page

    Continue

    You are about to visit a Philips global content page

    Continue

    Our site can best be viewed with the latest version of Microsoft Edge, Google Chrome or Firefox.