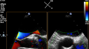
تم تشخيص أحد المرضى لديك بتضيّق في الصمام الأورطي المصحوب بأعراض. يبلغ عمر المريضة 85 عامًا وهي تعاني من السكري وارتفاع ضغط الدم. أنت تدرك خطورة وضعها الصحي ما يجعلها غير مناسبة لجراحة القلب ولكن يسمح لها بأن تكون مرشحة لاستبدال الصمام الأورطي باستخدام القسطرة (TAVR). في يومنا هذا، تمنح حلول التصوير المبتكرة والأجهزة التي تعمل عن طريق الجلد الأمل لبعض المرضى الذين لا تتوفر لهم حتى الآن أي خيارات علاجية أخرى.
تعلّم المزيد حول حلول طب القلب التي تقدمها شركتنا.
























